
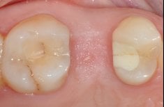
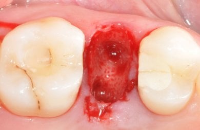
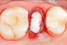
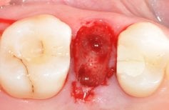
Збереження лунки після видалення зуба запобігає подальшій втраті кісткової тканини перед встановленням імплантату. Пакет вартістю близько 350 $ включає кісткову пластику з використанням преміальних матеріалів та інтраоральну візуалізацію. Для прискорення загоєння застосовуються терапії факторами росту PRP та PRF. Процедуру проводить доктор Маріо Гарібай, який має понад 20 років досвіду та пройшов підвищення кваліфікації в Університеті Лома-Лінда. Лікування проходить у багатопрофільній клініці SoftDentalCare. Контрольний огляд входить у вартість для забезпечення комплексного догляду.
